نجاح استئصال غدة درقية لمسنه تبلغ من العمر (80) عام بمستشفى الخميس العام

محمد بن طحيطح
تمكن فريق طبي بمستشفى خميس مشيط العام من استئصال الغدة الدرقية بنجاح لمسنه سعودية تبلغ من العمر (80) عاماً، بعد أن تبين أنها تحمل ورم من النوع الحميد.
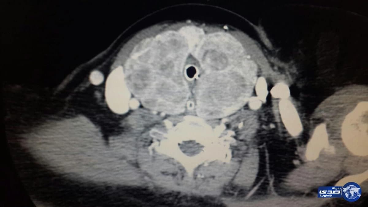
وكانت المريضة قد راجعت قسم الطوارئ وتم الكشف عليها واجراء اشعة مقطعية أظهرت أنها تعاني من أمراض مزمنة مثل داء السكري، وفرط توتر شرياني، ربو قصبي، وحادث وعائي دماغي، صاحب ذلك تغير في الصوت مع وجود صرير من جراء انسداد جزئي في الحنجرة يسبب صعوبة التنفس لهبوط الأكسجين بالدم وتم وضع المريضة على التنفس الاصطناعي بعد تنويمها بالعناية المركزة.
وبعد عدة أيام من التحضير للعملية قام الفريق الطبي باستئصال الغدة بشكل كامل بدون أي مضاعفات وتمكن الفريق الطبي من فصل المريضة عن التنفس الاصطناعي بعد أقل من 48 ساعة، وتحسنت حالة المريضة وغادرت المستشفى بعد 8 أيام من العمل الجراحي بصحة جيدة ولله الحمد.
وقد أجرى العملية استشاري الجراحة العامة والمناظير رئيس قسم الجراحة العامة بالمستشفى الدكتور/ أنطون نسطة واستشاري التخدير الدكتور/ حسان الشعراني واستشاري العناية المركزة بالمستشفى الدكتورة / سحر كمال.






