تسجيل اول حالة "لمتلازمة زينر الثلاثية" في مكة
منذ 3 سنة02540

حسين العلي
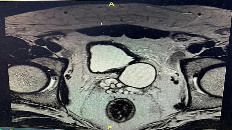
نجح فريق طبي في مستشفى النور بمكة المكرمة بإجراء عملية جراحية لواحدة من أندر الحالات الطبية وأكثرها غرابة وهي "متلازمة زينر" لمريض يبلغ من العمر (37) عاما.
وقال التجمع الصحي في مكة المكرمة ان المريض كان يعاني من آلام مزمنة في الحوض وصعوبة في التبول وبعد الفحص وإجراء أشعة الموجات فوق الصوتية والرنين المغناطيسي قرر الفريق الطبي المعالج إجراء العملية بالمنظار الجراحي وقد تكللت بالنجاح ولله الحمد.
حيث كان المريض يعاني من " متلازمة زينر الثلاثية " وهي غياب الكلية على ناحية من الجسم مع تكيس الحويصلة المنوية خلف المثانة البولية وانسداد قناة القذف على نفس الناحية ورغم صعوبة التشخيص في هذه الحالات بسبب ندرتها وأعراضها غير المحددة مثل الآلام الحوض وعسر التبول المستمر .
يذكر ان عدد العمليات التي أجريت بمستشفى النور بلغت (٨٨٥١) عملية خلال عام ٢٠٢٢م .





